A Importância da Saúde Bucal
Através
do exame clínico e das orientações profissionais fica mais fácil prevenir
cáries, doenças periodontais e outras complicações, evitando assim problemas
futuros no cuidado com os dentes e gastos em longos tratamentos. Um check-up
periódico não deixa que os problemas saiam do controle.
SAÚDE DO CORPO
Você tem ótimas razões para manter os dentes e gengivas de sua família saudáveis – Todos com os sorrisos brancos e o hálito agradável. Sempre ser capaz de mastigar sem nenhuma dificuldade ou desconforto, o que é essencial para uma boa nutrição. Ajudar a todos a ficarem bem longe das dores de dente. Sem contar que as pesquisas mais recentes indicam que a doença gengival pode levar a outros problemas no corpo, incluindo o aumento do risco de doença cardíaca.
PROBLEMAS CARDÍACOS
Poucas pessoas sabem, mas algumas bactérias presentes na região bucal podem
atacar o coração. A endocardite bacteriana, um tipo de problema cardiológico
decorrente de processos infecciosos, pode ter origem na cavidade oral e causar
a proliferação de bactérias nocivas ao organismo.PROBLEMAS CARDÍACOS
Poucas pessoas sabem, mas algumas bactérias presentes na região bucal podem
Principais
doenças dentárias
Cárie
Cárie
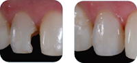
A cárie dentária é a destruição do tecido dentário causado pelo acúmulo de bactérias nos dentes ou nas gengivas. Essas bactérias formam a placa bacteriana que transforma resíduos de alimentos em ácidos prejudiciais aos dentes. Com o tempo, vai se formando um burado no dente, que é chamado de desmineralização. Para tratar é necessário retirar a parte do dente que está afetada e preenchê-la com resinas específicas para esse tipo de tratamento. Em casos mais graves, é preciso extrair complemante o dente e substituí-lo por um implante.
Doença periodontal
É uma doença do tipo infecto-inflamatória que ataca os tecidos de suporte (gengiva, como a gengivite) e sustentação (cemento, ligamento periodontal e osso) dos dentes. Ela é caracterizada pela perda de inserção do ligamento periodontal e destruição dos tecido ósseo. A evolução deste processo leva à perda dos dentes, pois o comprometimento e a destruição, pela ação bacteriana, acúmulo de tártaro e inflamação destas estruturas colaboram para a formação de bolsas periodontais que levam à mobilidade dentária, ou seja, os dentes ficam amolecidos. O tratamento da doença, no seu estágio inicial, consiste em raspagem da raiz do dente, pelo cirurgião dentista, removendo o principal causador, que é a placa bacteriana aderida ao dente. Nos estágios mais avançados da doença, há a necessidade de cirurgias, e, às vezes, o uso de antibióticos.
Fluorose dentária
Se caracteriza em geral, por manchas brancas nos dentes, causadas pelo excesso de flúor. Geralmente ocorre em ciranças de 0 a 12 anos. Num nível moderado ela não é preocupante, mas em casos mais avançados pode ser o primeiro sintoma de intoxicação por flúor.
Halitose
Popularmente conhecida como mau hálito, a halitose é a exalação de odores ruins através da boca. Também pode ocorrer em função de algum problema no estômago, sendo expelida através da respiração. Na maioria dos casos a halitose é causada pela saburra lingual, que são resíduos de células da boca e de alimentos que aderem à superfície da lingual, a recomendação é fazer uma limpeza regular tanto nos dentes quanto na língua para evitar situações constrangedoras. Ainda há outros causadores do mau hálito, como o stress e medicamentos, especialmente os controlados. Remédios antidepressivos inibem a produção de saliva, o que aumenta a quantidade de uma proteína que ajuda na formação da saburra, onde se proliferam bactérias que causam mau cheiro.
PREVENÇÃO
Através do exame clínico e das orientações profissionais fica mais fácil prevenir cáries, doenças periodontais e outras complicações, evitando assim problemas futuros no cuidado com os dentes e gastos em longos tratamentos. Um check-up periódico não deixa que os problemas saiam do controle.
LIMPEZA E CLAREAMENTO
Mesmo com uma higienização, escovação dos dentes e da língua bem feitos, o uso de fio dental, de anti-sépticos bucais e de escova lingual, para garantir a não-formação da placa bacteriana, de cáries e tártaro, a visita ao dentista é primordial para tirar as suas dúvidas e verificar se está fazendo todos os procedimentos de maneira correta.
Já existem muitas técnicas para clarear as diversas manchas nos dentes. O dentista irá realizar o tratamento indicado para o seu caso.
Através do exame clínico e das orientações profissionais fica mais fácil prevenir cáries, doenças periodontais e outras complicações, evitando assim problemas futuros no cuidado com os dentes e gastos em longos tratamentos. Um check-up periódico não deixa que os problemas saiam do controle.
LIMPEZA E CLAREAMENTO
Mesmo com uma higienização, escovação dos dentes e da língua bem feitos, o uso de fio dental, de anti-sépticos bucais e de escova lingual, para garantir a não-formação da placa bacteriana, de cáries e tártaro, a visita ao dentista é primordial para tirar as suas dúvidas e verificar se está fazendo todos os procedimentos de maneira correta.
Já existem muitas técnicas para clarear as diversas manchas nos dentes. O dentista irá realizar o tratamento indicado para o seu caso.
RESTAURAÇÕES
Antigas restaurações (conhecidas como obturações) feitas em amálgama, aquele material na cor cinza escuro, podem ser substituídas por resinas mais atuais que são imperceptíveis e duradouras.
PRÓTESES
Os implantes e as próteses possibilitam a substituição de um ou mais dentes perdidos.
PERDER O MEDO
Dentista não é mais sinônimo de dor e pânico. Hoje, o tratamento dentário é muito mais eficaz, rápido e indolor com a tecnologia disponível nos consultórios.
DOR DE DENTE
O melhor remédio é a prevenção. Visitas periódicas ao dentista, mesmo que você não esteja com qualquer sintoma, podem detectar o problema desde cedo, garantindo o sucesso do tratamento.
MAU HÁLITO
Grande parte das causas do mau hálito está na boca. Escovar os dentes e a língua é essencial para manter um bom hálito. Visitar o dentista duas vezes ao ano também pode evitar problemas desagradáveis.
Remédio caseiro para a dor de dentes:
Como mensionado acima o melhor remédio
caseiro para a dor de dentes é a prevencao e cuidados de higiene oral e
visitas frequentes ao dentista. se eventualmente não seguiu essas orientações,
ou se seguiu e elas não foram suficientes, listamos aqui 10 remédios caseiros
para aliviar a dor de dentes em vez dos medicamentos comuns. Vejamos quais são:
1. Massagem “gelada” – pegue um cubo de
gelo e passe na gengiva junto do dente que está doendo. Isso é um bom remédio
caseiro para aliviar a dor de dentes, pois o frio em si, reduz o fluxo de dor
que os impulsos nervosos transmitem. Tem uma taxa de sucesso de 60 a 80%. Há
quem coloque mesmo o cubo de gelo diretamente no dente, embora isso possa
piorar a dor em certa medida.
2. Alho – há quem defenda que
colocar um pouco de alho e uma pedrinha de sal diretamente no dente, aliviam a
dor podendo mesmo eliminá-la.
3. Cebola – a dor de dentes
pode eventualmente ser aliviada usando cebola, basta aplicar um pouco sobre o
dente e a gengiva. Pode acontecer o alívio da dor porque a cebola tem
propriedades anti-bacterianas eliminando bacterias e germes da sua boca.
4. Lima – A lima é rica em
vitamina C e isso previne as cáries dentárias e pode providenciar alívio a dor
de dentes.
5. Germen de Trigo – o suco de germen de
trigo é um excelente enxaguante bucal e um remédio natural para dor de dentes.
Também elimina as toxinas das gengivas e controla o desenvolvimento das
bactérias.
6. Asafoetida – esse é termo científico
para um material resinoso que se obtém da raíz de várias plantas da família da
salsa. Ajuda com a dor de dentes dando um alívio progressivo.
7. Óleo de Cravo – coloque óleo de
cravo diretamente no dente afetado, pode usar um cotonete para o fazer. Segundo
os mais velhos, isso lhe trará alívio à sua dor de dentes.
8. Pimenta – uma pitadinha de pimenta
misturada com um pouco de sal, dizem ser uma opção muito válida para acabar com
a dor de dentes, é defendido por alguns que também elimina a sensibilidade
dentária sentida por causa da dor.
9. Óleo de oregão – esse é um remédio
muito interessante pois o oregão atua de forma agressiva contra os elementos
patogénicos de uma cárie dentária, ou seja, as bactérias.
10. Sal – gargarejar a boca
com água salgada é tido por alguns como um bom remédio caseiro para a dor de
dentes. É bom lembrar que depois disso deve sempre enxaguar a boca com água
simples sem nada.
11. Alccol – para quem gosta de
bebidas, esse pode ser o remédio adequado. Gargarejar a boca com um pouco de
cachaça, ou aplicar outro tipo de bebida no dente que dói, pode trazer um
alívio temporário. Deixar essa bebida com alcool mesmo por cima do dente que
dói durante alguns segundos, pode eventualmente “adormecer” a gengiva dando uma
certa sensação de alívio.











Nenhum comentário:
Postar um comentário